What Does Throat Cancer Look Like On An X Ray - Dysphagia The Oral Cancer Foundation / And by the time matthew's ameloblastoma was detected, his tumor was the size of a golf ball.
Dapatkan link
Facebook
X
Pinterest
Email
Aplikasi Lainnya
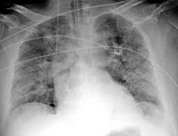
What Does Throat Cancer Look Like On An X Ray - Dysphagia The Oral Cancer Foundation / And by the time matthew's ameloblastoma was detected, his tumor was the size of a golf ball.. The most sensitive way to detect throat cancer is to have an. Tumors often show up as lighter gray than the surrounding tissue. The lungs look black because they are filled with air. If this cessation of normal eating is accompanied by changes in the voice, contact your veterinarian immediately. For patients diagnosed with throat cancer, a pet/ct scan may be used to see if cancer has spread to the lymph nodes, to determine the origin of cancer when it is found in the lymph nodes first, or to check the body for the spread of cancer cells.
Lung cancer tumors look like white round circles on cxr. Tumors often show up as lighter gray than the surrounding tissue. The stage of throat cancer is characterized with the roman numerals i through iv. If you notice the second tooth from the left, you can see a dark aura surrounding the tip of the root. Ultrasound is useful in a few instances.
Throat Cancer X Ray Images Celine Dion Songs Age from bjcardio.co.uk If the fna shows cancer, the pathologist (the doctor examining the samples) can often tell what type of cancer it is. Fat and muscle absorb less, so they show up in different shades of gray. Nearby tissue, such as the neck, trachea, thyroid, esophagus, jaw, mouth, or other locations. Oral cancer may present as: By the way i have also lost around 70lbs in the past year but i have been on a diet since the start of 2015 so hopefully this was down to. How does a colon cancer look like? Any time your cat has stopped eating normally, you should make an appointment with your veterinarian. Lung cancer and throat cancer sometimes occur at the same time.
Look at your chest bones, heart.
The cancer can also appear as a hole in the bone. Oral cancer may present as: If you notice the second tooth from the left, you can see a dark aura surrounding the tip of the root. If this cessation of normal eating is accompanied by changes in the voice, contact your veterinarian immediately. Also, would throat cancer cause a lump like this growing on the outside of the throat/neck? Later stages indicate more advanced cancer, with stage iv being the most advanced. The tumor may be any size, but it has spread to: Throat cancer refers to cancer of the voice box, vocal cords, and other parts of the throat, such as the tonsils and the oropharynx. Tumors often show up as lighter gray than the surrounding tissue. Ameloblastoma isn't the same as jaw cancer or mouth cancer, head and neck cancer, nor even a bone cancer. That is a typical sign of an infection originating. And if this isn't cancer, could anybody offer an explanation as to what would cause a sore throat and growing lump? To evaluate respiratory conditions like asthma, bronchitis, and pneumonia, heart conditions, broken ribs, and to look for fluid and tumors within the chest cavity.
One large lymph node (more than three centimeters in size) on the same side of the neck as the tumor, multiple lymph nodes of. The tumor may be any size, but it has spread to: Sometimes doctors can see a tumor around the defect in the bone that might extend into nearby tissues (such as muscle. Lung cancer and throat cancer sometimes occur at the same time. Your voice box sits just below your throat and also is susceptible to throat cancer.
Laryngeal Cancer Latest News And Research Updates from www.medindia.net For patients diagnosed with throat cancer, a pet/ct scan may be used to see if cancer has spread to the lymph nodes, to determine the origin of cancer when it is found in the lymph nodes first, or to check the body for the spread of cancer cells. By the way i have also lost around 70lbs in the past year but i have been on a diet since the start of 2015 so hopefully this was down to. Treatment of throat cancer is based on its location, type of cancer, stage, and your child's health status. The appearance of throat cancer on the other hand depends on the part of the throat that is affected by cancer and the stage of its development. Ultrasound is useful in a few instances. The cancer can also appear as a hole in the bone. If the fna shows cancer, the pathologist (the doctor examining the samples) can often tell what type of cancer it is. Throat cancer refers cancer that develops in your throat (pharynx) or voice box (larynx).
A bumpy spot near the front teeth.
Treatment of throat cancer is based on its location, type of cancer, stage, and your child's health status. And by the time matthew's ameloblastoma was detected, his tumor was the size of a golf ball. The tumor may be any size, but it has spread to: Lung cancer tumors look like white round circles on cxr. To evaluate respiratory conditions like asthma, bronchitis, and pneumonia, heart conditions, broken ribs, and to look for fluid and tumors within the chest cavity. Sometimes doctors can see a tumor around the defect in the bone that might extend into nearby tissues (such as muscle. Each subtype of throat cancer has its own criteria for each stage. A bumpy spot near the front teeth. Oral cancer may present as: Throat cancer refers to cancer of the voice box, vocal cords, and other parts of the throat, such as the tonsils and the oropharynx. In some cases, doctors will notice a tumor around that particular area of the bone. The appearance of throat cancer on the other hand depends on the part of the throat that is affected by cancer and the stage of its development. Surgical complications and side effects arising out of throat cancer treatment.
The cancer can also appear as a hole in the bone. The lungs look black because they are filled with air. If you notice the second tooth from the left, you can see a dark aura surrounding the tip of the root. Lung cancer tumors look like white round circles on cxr. And if this isn't cancer, could anybody offer an explanation as to what would cause a sore throat and growing lump?
X Ray Of The Soft Tissue Neck Lateral View Showing The Mass Arrow Download Scientific Diagram from www.researchgate.net If the cancer cells look like they might have come from the larynx or hypopharynx, an endoscopic exam and biopsy of these areas will be needed. The appearance of throat cancer on the other hand depends on the part of the throat that is affected by cancer and the stage of its development. Surgical complications and side effects arising out of throat cancer treatment. Patches of rough, white, or red tissue. Treatment of throat cancer is based on its location, type of cancer, stage, and your child's health status. Throat cancer refers cancer that develops in your throat (pharynx) or voice box (larynx). Growths of tissue on the roof of. That is a typical sign of an infection originating.
If the fna shows cancer, the pathologist (the doctor examining the samples) can often tell what type of cancer it is.
For patients diagnosed with throat cancer, a pet/ct scan may be used to see if cancer has spread to the lymph nodes, to determine the origin of cancer when it is found in the lymph nodes first, or to check the body for the spread of cancer cells. The lungs look black because they are filled with air. Any time your cat has stopped eating normally, you should make an appointment with your veterinarian. If this cessation of normal eating is accompanied by changes in the voice, contact your veterinarian immediately. Like every other type of surgery, throat cancer surgery also carries extensive risks such as the possibility of blood clots, infections, complications arising out of anaesthesia, and even pneumonia. While the jaw pain alerted him that something was wrong, the condition isn't visible. Throat cancer may also look like unusual white patch of tissue termed as leukoplakia. Also, would throat cancer cause a lump like this growing on the outside of the throat/neck? If the fna shows cancer, the pathologist (the doctor examining the samples) can often tell what type of cancer it is. Lung cancer tumors look like white round circles on cxr. And if this isn't cancer, could anybody offer an explanation as to what would cause a sore throat and growing lump? Each subtype of throat cancer has its own criteria for each stage. In some cases, doctors will notice a tumor around that particular area of the bone.
What Does Ovarian Cancer Look Like / What are the Signs & Symptoms? - National Ovarian Cancer ... - Wednesday 25 february is ovarian cancer awareness day. . Most ovarian cysts go away with time. This type of cancer can occur in women who still have their ovaries, but it is of more concern for women who have had their ovaries removed to. What does ovarian cancer look like on an ultrasound? Like ovarian cancer, ppc tends to spread along the surfaces of the pelvis and abdomen, so it is often difficult to tell exactly where the cancer first started. I'm sharing my story in the hope of raising awareness about this devastating disease, and to help raise funds for important australian medical research currently being. Department of health and human services national institutes of it is the most common type of ovarian cancer. What does ovarian cancer look like on an ultrasound? Ovarian cancer is highly curable if it's diagnosed and treated early, but the symptom...
Zodiac Sign Cancer Meaning In Hindi - Adele Meaning In Hindi - Adele Hello Someone Like You / This post will help you with zodiac sign names in hindi and english. . Zodiac signs typically refers to the sun sign in western astrology which is based on dangerously flawed tropical system. Discover its physical appearance, its personality, its loves it is useful to recall that to be a cancer means to have one's sun in cancer, which requires to know the exact time and place of birth in addition to the date. Those born under this horoscope sign are 'roots' kinds of people, and take great pleasure in the comforts of home. Taurus, virgo, scorpio, pisces, capricorn. Cancer is a water sign and it represents emotions and security. Cancer men and women make excellent parents who are loving as well as strict at the same. It is also known as moon sign. Cancer zodiac sign comes fourth in western astrology. Discover its physical appearance, its personality, its loves it...
De vader van max verstappen gaat echter niet bij de pakken neerzitten, hij denkt aan een mogelijkheid om in het buitenland een race mee te pakken. In 1994, he raced in formula one for benetton, scoring two podium finishes.at that year's german grand prix, his car was … Verstappen si interessò ai kart fin dalla tenera. 25.10.2021 · jos verstappen maakt rallydebuut. Johannes franciscus verstappen (montfort, países bajos; Formel 1 Jos Verstappen Nicht Gut Genug Fur Schumacher from f1-insider.com Verstappen si interessò ai kart fin dalla tenera. In 1994, he raced in formula one for benetton, scoring two podium finishes.at that year's german grand prix, his car was … Participó en 107 grandes premios de fórmula 1, debutando el 27 de marzo de 1994 en el gran premio de brasil, y consiguió un total de 17 puntos en el campeonato, además de ...
Komentar
Posting Komentar