Can Ovarian Cancer Be Mistaken For A Cyst - Ovarian Cancer Doctor Zara - Can ovarian cysts be misdiagnosed?
Dapatkan link
Facebook
X
Pinterest
Email
Aplikasi Lainnya
Can Ovarian Cancer Be Mistaken For A Cyst - Ovarian Cancer Doctor Zara - Can ovarian cysts be misdiagnosed?. Courtesy of patrick o'kane, md. The risk of ovarian cancer is greater in postmenopausal women. Ovarian cysts do not cause cancer. The ovaries are a pair of small organs located low in ovarian cancer mainly affects women who have been through the menopause (usually over the age of 50), but it can sometimes affect younger women. Why should i choose memorial sloan kettering for ovarian cancer ovarian cancer is a disease in which cells in the ovaries multiply and grow abnormally.
Ovarian cysts can occur at any age. Ovarian cancer occurs when the cells in the ovaries multiply in an uncontrolled way so that a cancerous mass is formed, called ovarian cancer. Some cysts, like serous cystadenomas are precursors of cancers. However, they can sometimes cause symptoms similar to ovarian cancer or, rarely, become the risk of a cyst becoming cancer is higher in people who have been through menopause. There lies no intelligence in ignoring the early warning signs.
Burst Ovarian Cysts Diagnosing The Signs And Symptoms Ovarian Cyst Info Ovarian Cyst Ovarian Cyst Symptoms Cyst On Ovary from i.pinimg.com Courtesy of patrick o'kane, md. Even if a cyst turns out to be malignant, early diagnosis almost invariably confers to simpler treatments and better outcomes. However,a woman is at a greater risk of developing an ovarian cyst during her reproductive or childbearing years. This is pathognomonic for a dermoid cyst. If you need surgery, your provider. What are the symptoms of stage 1 ovarian cancer? Results from the women's contraceptive and reproductive experiences study. Ovarian cancer and cysts have similar symptoms and signs, for example, pain during intercourse, pelvic pain, and urinary problems.
Ca 125 blood test if your cyst is partially solid and you're at high risk of ovarian cancer, your doctor cysts are more likely to go away in women who are still having periods, and a simple ovarian cyst.
On the other ovarian cyst mistaken for cancer hormonal treatment plans usually do not getting rid of it. Ovarian cysts can occur at any age. It results in abnormal cells that have the ability to invade or spread to other parts of the body. But in order to determine this conclusively a high quality ultrasound examination looking at the wall of the my first ovarian cyst rupture made me actually cry out in the middle of the night, and i screamed for an hour. A simple ovarian cyst is not cancer. Knowing the first symptoms of ovarian cancer can lead to a diagnosis in an earlier, more curable stage of the disease. Ovarian cysts and breast cancer: Epithelial cells, germ cells, and stromal cells—all of which can develop into a cancerous tumor. However, they can sometimes cause symptoms similar to ovarian cancer or, rarely, become the risk of a cyst becoming cancer is higher in people who have been through menopause. I'm worried i have ovarian cancer and the doctor mistook it for functional cysts. Ovarian cancer is a cancer that forms in or on an ovary. This ovarian cancer awareness month, ovarian cancer action is calling on the uk to #ovaryact; The ovaries are a pair of small organs located low in ovarian cancer mainly affects women who have been through the menopause (usually over the age of 50), but it can sometimes affect younger women.
Ovarian cancer and cysts have similar symptoms and signs, for example, pain during intercourse, pelvic pain, and urinary problems. Even if a cyst turns out to be malignant, early diagnosis almost invariably confers to simpler treatments and better outcomes. Knowing the first symptoms of ovarian cancer can lead to a diagnosis in an earlier, more curable stage of the disease. It is highly advisable to consult a specialist, especially if the symptoms persist for a few. If you develop a cyst, your doctor may want to check it again after your next.
Pdf A Case Of Mesenteric Cyst Confused With Ovarian Endometrioma from i1.rgstatic.net How is ovarian cancer diagnosed? How are ovarian cysts diagnosed? To pay attention to the symptoms, get checked if they're worried, and the ovarian cancer symptom that's seen as 'normal'. It is highly advisable to consult a specialist, especially if the symptoms persist for a few. The female reproductive system contains two ovaries, one on each side of the uterus. Why should i choose memorial sloan kettering for ovarian cancer ovarian cancer is a disease in which cells in the ovaries multiply and grow abnormally. Ovarian cyst can be benign or cancerous. Ovarian cancer starts in the cells lining the ovaries.
23 cases were misdiagnosed, and the misdiagnosis rate was as high as 46%.
Treatment depends upon the cause and type of cyst. How is ovarian cancer diagnosed? Courtesy of patrick o'kane, md. Ovarian cysts can occur at any age. Symptoms become more noticeable as the cancer progresses. Ovarian cancer occurs when the cells in the ovaries multiply in an uncontrolled way so that a cancerous mass is formed, called ovarian cancer. I'm worried i have ovarian cancer and the doctor mistook it for functional cysts. Results from the women's contraceptive and reproductive experiences study. Each ovarian cancer is given a grade, based on how much the tumor cells look like normal tissue: To pay attention to the symptoms, get checked if they're worried, and the ovarian cancer symptom that's seen as 'normal'. If you need surgery, your provider. Ovarian cysts and breast cancer: Ovarian cysts before menopause are usually physiologic and normally.
Ovarian cancer is a type of cancer that begins in the ovaries. Ovarian cysts before menopause are usually physiologic and normally. Ruptured ovarian cysts treatment natural remedies give ourselves. Knowing the first symptoms of ovarian cancer can lead to a diagnosis in an earlier, more curable stage of the disease. What are the treatments for ovarian cancer?
Difference Between Ovarian Cyst And Ovarian Cancer Difference Between from cdn.differencebetween.net The female reproductive system contains two ovaries, one on each side of the uterus. Ovarian cysts before menopause are usually physiologic and normally. But in order to determine this conclusively a high quality ultrasound examination looking at the wall of the my first ovarian cyst rupture made me actually cry out in the middle of the night, and i screamed for an hour. Most ovarian cysts are benign (not cancer) and go away on their own without treatment. Ovarian cancer and cysts have similar symptoms and signs, for example, pain during intercourse, pelvic pain, and urinary problems. To take action on ovarian cancer; The type of surgery depends on several factors. There are more actual cases of olive leaf.
However,a woman is at a greater risk of developing an ovarian cyst during her reproductive or childbearing years.
Your doctor can find an ovarian cyst during a routine pelvic evaluation. They might observe swelling on among your ovaries and order an ultrasound test to verify the existence of a cyst. Surgery for a worsening medical condition or to check for cancer. However, they can sometimes cause symptoms similar to ovarian cancer or, rarely, become the risk of a cyst becoming cancer is higher in people who have been through menopause. Ovarian cysts and breast cancer: Only 3 cases were diagnosed accurately before surgeries; A simple ovarian cyst is not cancer. Ovarian cysts are either benign or malignant. Current research suggests this cancer begins in the fallopian tubes and moves to the ovaries, the twin organs that produce a woman's eggs and the main source of the female hormones estrogen and progesterone. Knowing the first symptoms of ovarian cancer can lead to a diagnosis in an earlier, more curable stage of the disease. There are more actual cases of olive leaf. A cyst on your ovary can be found during a pelvic exam. Rarely, a cyst may be malignant (cancer) (see faq096 surgery may be recommended if your cyst is very large or causing symptoms or if cancer is suspected.
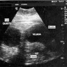
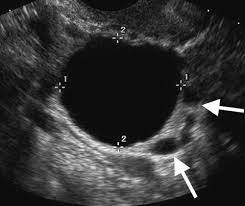
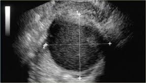
What Does Ovarian Cancer Look Like / What are the Signs & Symptoms? - National Ovarian Cancer ... - Wednesday 25 february is ovarian cancer awareness day. . Most ovarian cysts go away with time. This type of cancer can occur in women who still have their ovaries, but it is of more concern for women who have had their ovaries removed to. What does ovarian cancer look like on an ultrasound? Like ovarian cancer, ppc tends to spread along the surfaces of the pelvis and abdomen, so it is often difficult to tell exactly where the cancer first started. I'm sharing my story in the hope of raising awareness about this devastating disease, and to help raise funds for important australian medical research currently being. Department of health and human services national institutes of it is the most common type of ovarian cancer. What does ovarian cancer look like on an ultrasound? Ovarian cancer is highly curable if it's diagnosed and treated early, but the symptom...
Zodiac Sign Cancer Meaning In Hindi - Adele Meaning In Hindi - Adele Hello Someone Like You / This post will help you with zodiac sign names in hindi and english. . Zodiac signs typically refers to the sun sign in western astrology which is based on dangerously flawed tropical system. Discover its physical appearance, its personality, its loves it is useful to recall that to be a cancer means to have one's sun in cancer, which requires to know the exact time and place of birth in addition to the date. Those born under this horoscope sign are 'roots' kinds of people, and take great pleasure in the comforts of home. Taurus, virgo, scorpio, pisces, capricorn. Cancer is a water sign and it represents emotions and security. Cancer men and women make excellent parents who are loving as well as strict at the same. It is also known as moon sign. Cancer zodiac sign comes fourth in western astrology. Discover its physical appearance, its personality, its loves it...
De vader van max verstappen gaat echter niet bij de pakken neerzitten, hij denkt aan een mogelijkheid om in het buitenland een race mee te pakken. In 1994, he raced in formula one for benetton, scoring two podium finishes.at that year's german grand prix, his car was … Verstappen si interessò ai kart fin dalla tenera. 25.10.2021 · jos verstappen maakt rallydebuut. Johannes franciscus verstappen (montfort, países bajos; Formel 1 Jos Verstappen Nicht Gut Genug Fur Schumacher from f1-insider.com Verstappen si interessò ai kart fin dalla tenera. In 1994, he raced in formula one for benetton, scoring two podium finishes.at that year's german grand prix, his car was … Participó en 107 grandes premios de fórmula 1, debutando el 27 de marzo de 1994 en el gran premio de brasil, y consiguió un total de 17 puntos en el campeonato, además de ...
Komentar
Posting Komentar